テトラサイクリンによる影響あった人っていますか?
子供の歯が黄色かったり茶色いのはテトラサイクリンの影響もあるって知って不安です。
101 : 名無しの心子知らず@\(^o^)/:2014/08/22(金) 16:03:16.27 ID:r6JtUyQC.net>>98
あれは骨の成長過程で染色されてしまうから、生えてきたときに歯が白ければ、生えた後の歯が変色することはないと思う
ただ、生え変わりの為の歯が染色されてしまうので、歯が生え変わる小学生の間までは
その系統の薬は避けた方がいい風邪の飲み薬なんかで、子供用でもさらっと処方されたりするから、違う薬に変えて欲しいと言った方がいい
上の子が小児科で、そんな事が一度有った
103 : 名無しの心子知らず@\(^o^)/:2014/08/22(金) 16:10:36.93 ID:r6JtUyQC.net>>98
お薬手帳はありますか?
妊娠中にテトラサイクリン系の薬を飲んでないか
子供が産まれてからの薬に入ってないか調べて、無ければ大丈夫ですよ
104 : 名無しの心子知らず@\(^o^)/:2014/08/22(金) 16:19:15.90 ID:h2+Opq4Y.net>>101
そうなんだ。でも結局小学生くらいまで気をつけなくてはいけないなら、生えた後も変色するって事でしょ?知らないうちにテトラサイクリン系の薬を飲ませた、または授乳中、妊娠中に自分が服用してしまってたか…わからないので心配だー。
最近テトラサイクリンの事を知ったため、今まで病院で処方された薬もテトラサイクリン系かどうかだったなんてわかる訳ないし。
普通、医者でもないから薬の名前だけで副作用までわかんないよね。
みんな、調べてから服用するの?
105 : 名無しの心子知らず@\(^o^)/:2014/08/22(金) 16:22:05.84 ID:h2+Opq4Y.net>>103
お薬手帳ないです。
やはり、ちゃんと手帳つけなくちゃいけないですね。これからは手帳作ります。生まれてからは、自分が産後の体調悪く、かなり色々と薬を飲んでしまっていました。授乳中でもやっぱり影響あるんでしょうか?
107 : 名無しの心子知らず@\(^o^)/:2014/08/22(金) 16:53:49.01 ID:r6JtUyQC.net>>104
生えた後の歯は、大きくならないから大丈夫だったと思う
じゃないと、ハタチくらいまでダメになるけど、そんなことは無いし
生えた時に白かったなら、安心して大丈夫だよ同級生に歯が灰色の子がいて、親に理由を聞いて、たかが風邪薬の為に酷い話だとすごく思ったんだよね
それで、テトラサイクリンとミノマイシンだけは、絶対避けたくて把握してるその他の薬は、処方箋薬局でプリントしてくれる用法と副作用の用紙を読んでるくらいだよ
それから、お薬手帳は病気の症状もメモしておいたら、余った塗り薬とか頓服とか、長期保存できる物だと、結構使う機会が有るから
便利だよ
110 : 名無しの心子知らず@\(^o^)/:2014/08/22(金) 17:41:36.19 ID:h2+Opq4Y.net>>107
ありがとうございます。今まで出されたお薬で残っていた物だけでも全部調べてみました。
テトラサイクリン系の薬は無かったですが
、全部ではないし私が服用した薬が何もわからないので、なんとも言えませんが…。生えてきた時には白かったのですが、いつの間にか前歯4本だけ茶色くなっていました。毎日歯磨きしているのですが落ちないので、すごく気になって調べたらテトラサイクリンの事を知りました。
一番気になるのは、永久歯に影響はあるのでしょうか?今、乳歯が茶色いのはいつか生え変わるから諦めがつくとして、永久歯まで茶色く生えてくるのか心配です。
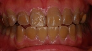
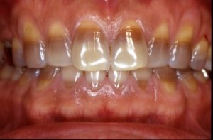
137 : 名無しの心子知らず@\(^o^)/:2014/08/23(土) 08:59:28.18 ID:aeVnSF/E.net>>110
テトラサイクリン系でなる着色歯は分かりやすいよ
http://i.imgur.com/tzwEXsU.jpg
http://i.imgur.com/RebwDbK.jpg
http://peace.2ch.sc/test/read.cgi/baby/1408461581


